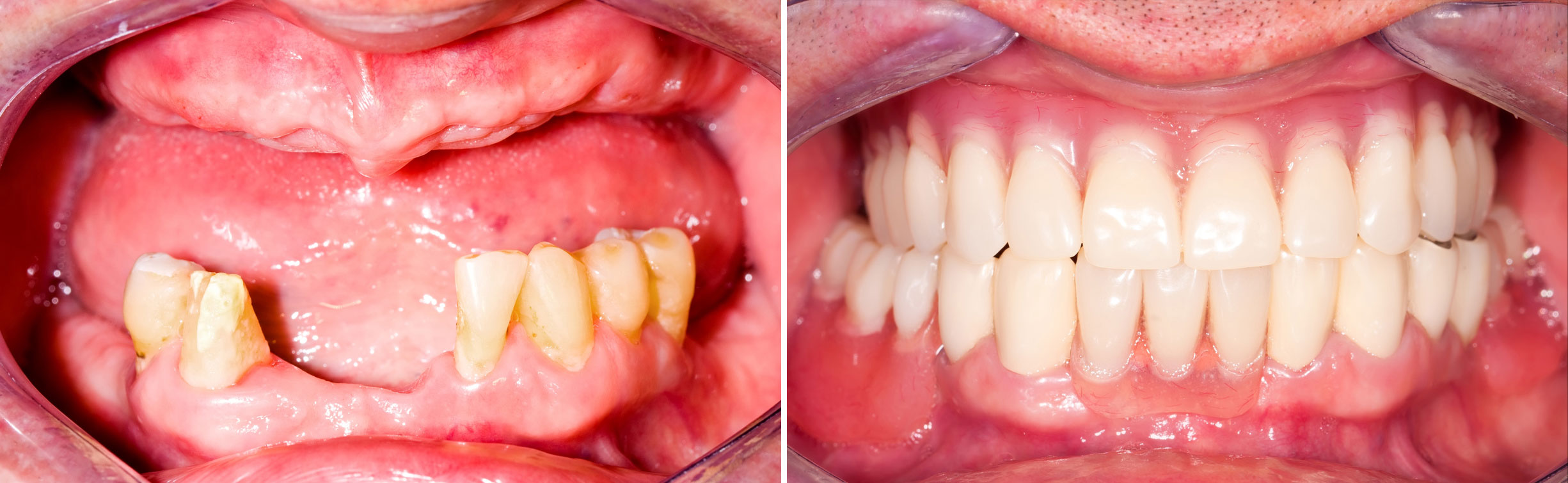
Welche Arten von Zahnersatz gibt es? Je nachdem, wie viele Zähne verloren gegangen sind und wie gesund die umgebenden Nachbarzähne sind, stehen verschiedene Möglichkeiten als Zahnersatz zu Verfügung. Sie werden unterteilt in abnehmbaren und festsitzenden Zahnersatz.. Welchen Zahnersatz du mit deinem Zahnarzt auswählst, hängt von vielen Faktoren ab. Wir erklären dir hier, welche Arten von Zahnersatz es gibt und stellen dir die Zahnbrücken und Zahnkronen genauer vor. Wie kommt es zum Verlust von Zähnen? Es gibt verschiedene Gründe, warum Menschen Zähne verlieren. Zum Teil fehlt nur ein einzelner Zahn.

Welche Zahnprothesen Gibt Es Quotes Today

Zahnersatz Varianten

Zahnersatz welche Möglichkeiten gibt es

Welche Möglichkeiten gibt es bei einem Zahnersatz? Welche Kosten entstehen? In diesem Artikel

Hochwertiger Zahnersatz Zahnwelt Schacha

Zahnersatz welche Möglichkeiten gibt es? Dentaprime Live (14. Juli 2021) YouTube

Herausnehmbarer Zahnersatz Vor und Nachteile

Welche Zahnprothesen Gibt Es Quotes Today

Zahnersatz

Zahnprothesen Welche Arten gibt es? MKGHeugel Blog

Welche Zahnprothesen Gibt Es Quotes Today

Zahnersatz Varianten

Zahnersatz Arten, Materialien, Kosten, Risiken

Zahnersatz

Zahnersatz Zahnarzt Berching Dr.Rembs

Zahnbrücken & Herausnehmbarer Zahnersatz in Aachen

Welche Unterschiede gibt es beim Zahnersatz? Kostenfalle Zahn

Zahnersatz Zahnarztpraxis Milin

Wissenswertes Unser Ratgeber Zahnersatzsparen.de

Fehlen ein oder mehrere Zähne, ist ein Zahnersatz nötig. Hier erfährst du, wann Zahnbrücke und
Welche Arten des herausnehmbaren Zahnersatzes gibt es? Es gibt 2 verschiedene Varianten: Prothesen, die komplett herausgenommen werden können und solche, die nur zum Teil entfernt werden können. Zahnbrücken sind meistens fest an Pfeilern verankert. Es gibt aber auch Teilprothesen, die sich herausnehmen lassen.. Sie besteht in der Regel aus einer hochwertigen Goldlegierung oder Nichtedelmetalllegierungen. Die Vollgusskrone wird hauptsächlich im nicht sichtbaren Backenzahnbereich verwendet. Anwendung findet sie hauptsächlich zur Wiederherstellung eines zerstörten Zahnes, bei herausnehmbarem Zahnersatz auch als Schutzkrone unter einer Halteklammer.